
「歯がキレイですね」
周りの方から言われるようになったと、笑顔で言っていただいた実際の言葉です。
セラミック矯正の良さはあなたの理想の美しい歯を目指せることにあります。
色や形も含め、すべてオーダーメイドで作成しています。
症例紹介
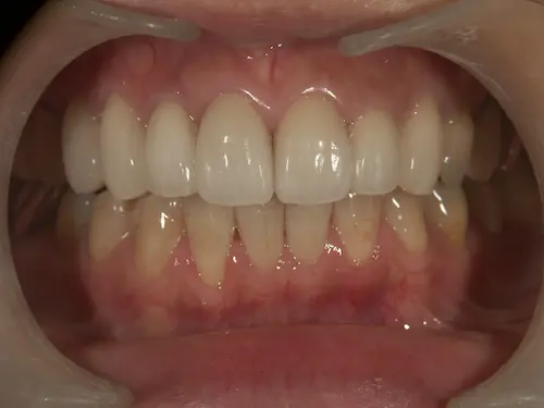
前歯を早くキレイにしたい
※左右に動かすとbefore/afterを確認できます。
【症例の解説】
20代女性
上下とも歯がガタガタなのが気になると来院されました。
ホームページで症例紹介がきっかけとのことです。
●治療のポイント
・上の歯
すべての歯を矯正で治療する方法もありましたが、特に上の前歯は早く治したいとのご希望で前歯6本をオールセラミック(ジルコニアを用いた被せ物)で治療しました。
・下の歯
下の歯のみ、矯正で治療。最後にホワイトニングを施し、上下の色合わせを行っています。
●治療期間:9ヶ月
(下の歯の矯正をしたため、やや期間が長めとなりました)
●治療費用
・上の歯
オールセラミック 198,000円×6本=1,188,000万円(税込)
・下の歯
下顎の部分矯正 330,000円(税込)
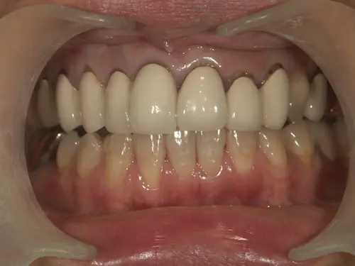
差し歯をやり直したい
※左右に動かすとbefore/afterを確認できます。
【症例の解説】
30代女性
他院でセラミック矯正をしたそうですが、仕上がりがうまく行かず当院でご相談にいらっしゃいました。
●治療のポイント
・上の歯
上の歯ぐきが黒ずんでみえること、見た目が人工的で、自然な歯並びに見えるように治療することがポイントとなりました。
歯の形と白さを入念に打合せを行い、仮歯で再度患者様のご要望とすり合わせをして、写真のような自然な仕上がりとなりました。
●治療期間:2ヶ月(来院回数:4回)
●治療費用
・上の歯
オールセラミック 198,000円×7本=1,386,000円(税込)
セラミック矯正とは

セラミック矯正は、今ある歯にジルコニアやオールセラミックと言われるセラミック素材の被せ物をして歯並びを整える方法です。
セラミックで作る歯は色や形をオーダーメイドで作るためにイメージした口元を目指すことができます!
セラミック矯正に適している症例

セラミック矯正のメリット
最短一ヶ月で治療できる

「歯並びを早く治したい」、「早くキレイにしたい」
歯並びがコンプレックスとなっている患者様には、このような思いをお持ちの患者様が少なくはありません。
セラミック矯正なら最短1ヶ月で治療できるため、少しでも早く治したいという方に適しています。
また、お仕事等でできるだけ短期間で印象を良くする必要がある、結婚式や就活、成人式等のイベントまでに歯並びをよくしたい、といった場合にもセラミック矯正なら解決できます。
芸能人のようなキレイな口元に

モデルさんや女優さんといった芸能人の方は歯並びがとてもキレイな方が多いですが、その多くはセラミック矯正による治療を行っています。
芸能人の方のような整った歯の形や色の歯並びにしたいという方にはピッタリな治療法となります。
さらに
当院のセラミック矯正の特徴
望み通りの美しい仕上がりに

セラミック矯正では歯の色や形をオーダーメイドで製作するため、ご希望の歯の色や形を再現して、審美性の高い理想の歯を目指すことができます。
トップセラミストとの技術提携

満足度の高いセラミック治療は、技工所と歯科医の技術そして綿密なチームワークによって実現できます。
治療のポイントは次のようなものがあります。
・セラミック完成までの段階でできるだけ多く患者様のニーズを抽出し、担当技工士に正確に伝えられているか
・技工所で作る際にどれだけ患者様の顔や口元などに合うように計算し、さらに嚙み合わせの良い歯を作れるか
当院では技工所と密に連携をしており、患者様の高い満足度を実現しています。
当院提携技工所:Charm Dental Design
担当技工士 藤崎 啓太氏
当院の診察風景
他の歯医者で
思ったことが言えなかった
聞きたいことが聞けなかった
と患者様から言われることがあります。
当院ではコミュニケーションに力を入れているので、日々の診療の中でスタッフと患者様との笑い声が聞こえます。
患者様のご希望を伺うのはもちろん、不安や心配な点も伺い、それを解決しながら患者様と一緒に治療の計画を立てていきます。
歯医者で緊張する様な、歯医者選びで迷う方は、ぜひいらしてください!
きっと当院の良さが感じていただけると思います。


セラミック矯正は
私が責任を持って治療いたします。

院長 大木 理史
セラミック矯正で
失敗しないために
セラミック矯正は、今ある歯を削って被せ物をして歯並びを整える治療方法です。
虫歯等ですでに処置がされている歯などにセラミック治療を行うのと、健康な歯を削ってセラミック治療を行うのでは同じ治療でも意味合いが異なります。
一度削った歯を元に戻すことはできないため、当院では必要以上に健康な歯は削らないほうがよいという方針で診療を行っておりますが、患者様のご意向やライフスタイルに寄り添うことも重要と考えております。
そのため、当院では予め患者様のご要望、そして、セラミック矯正のメリットやデメリットをお伝えし、セラミック矯正を行うかどうかを患者様と一緒に考えて結論を出しています。
その結果、セラミック矯正をご要望でも一般的な矯正をおすすめする場合もあります。
当院では患者様の”今だけ”でなく、”将来も”見て治療方針を立てています。
セラミック矯正にご興味があり、迷っている方がいらしたら一度ご相談ください。
最短1ヶ月セラミック矯正治療の流れ
【1回目のご来院】
カウンセリングと仮歯作成
(1)カウンセリング
お悩みやご要望を詳しく伺い、どのような治療ができるかご説明いたします。
(2)仮歯制作のための型取り
治療に同意いただけた場合は仮歯作成のための写真撮影、型取りを行い、仮歯の作成を行います。
☆ポイント
当院では無料カウンセリングを受け付けており、患者様のお悩みをじっくりと伺った上で治療のご説明をいたします。
どのようなことでも安心してご相談ください。
【2回目のご来院】
仮歯のセットと仮歯でのお試し期間
”理想の歯を手に入れるための大切な期間です”
(1)仮歯の装着
今の歯を一回り小さく削って、出来上がった仮歯を装着します。
☆ポイント
治療期間中は、理想の歯をイメージした仮歯で不満なく過ごしていただきます。
(2)仮歯でのお試し期間
☆ポイント
仮歯で一定期間お過ごしいただくことは、完成する歯を入れる前の大切なトライアル期間です。
【3回目のご来院】
ヒアリングと型取り
(1)ヒアリング
仮歯でお過ごしいただいた際のご感想を伺います。
そのご感想、ご要望に応じて、再度仕上りのイメージを患者様と共有します。
(2)型取り
いよいよ治療終了に向けての最後の型取りを行います。
【4回目のご来院】
セットして治療終了
出来上がったセラミックを装着し、治療完了となります。
セラミック矯正のよくあるご質問
- Q
セラミック矯正の寿命はありますか?
- A
セラミック素材の歯の寿命は個人差が大きく、一概には言い切れません。ずっと使い続けることが出来る方もいらっしゃれば、歯ぎしり等で損傷しやすい場合もあります。
また、笑ったときに歯茎が見える方や歯肉が下がりやすい方は10年程度でやり直しが必要になることもあります。
患者様によってすべて状況が異なるため、当院でご相談いただければお答えできます。
- Q
1本だけ治療することはできますか?
- A
1本だけで治療をすることは可能です。すでにセラミック治療をしている歯などの場合は特におすすめです。新たに治療する場合でも、もちろん治療することは可能です。
歯の状況と患者様のご希望に応じて、最適な治療法をご提案させていただきますのでぜひ一度ご相談にいらしてください。
- Q
保証制度はありますか?
- A
あります。
セラミックは壊れにくいですが、何らかの力が加われば稀に割れることはあります。そのような場合でも当院では5年までは100%保証、6年目以降も段階的に保証を行い、9年目以降でも20%保証としており永久的な保証制度を設けておりますので安心して治療を受けていただけます。





