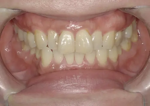
大きく見える前歯を治したい
※左右に動かすとbefore/afterを確認できます。
- 【症例】の詳細はこちら
-
Before
After
20代女性
前歯が大きく見えることが悩みでご相談にこられました。
●治療のポイント
・前歯が大きく見えることについて
歯の大きさを小さくしたいというご要望でしたが、歯並びを治すだけで目立たなく整って見えると判断し、矯正治療をおすすめしました。
・よりキレイに見えるように
矯正治療後に先端部分を少しだけ削り、前歯がよりキレイに見えるようにしました
治療期間 1年
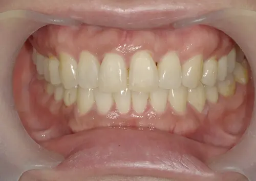
歯並びのゆがみ・ガタガタが気になる
※左右に動かすとbefore/afterを確認できます。
- 【症例】の詳細はこちら
-
Before
After
30代男性
歯並びのゆがみがずっと気になっていたそうです。
虫歯治療やメンテナンスで通院されていましたが、当院でマウスピースで治療ができることを知り、矯正治療を行いました。
●治療のポイント
歯並びや口元がキレイにみえるポイントの一つに、左右の歯並びが対称になっていることがあります。左右差が最小になるように治療を行いました。
治療期間 1年2ヶ月
当院の診察風景のご紹介
他の歯医者で
思ったことが言えなかった
聞きたいことが聞けなかった
と患者様から言われることがあります。
当院ではコミュニケーションに力を入れているので、日々の診療の中でスタッフと患者様との笑い声が聞こえます。
患者様のご希望を伺うのはもちろん、不安や心配な点も伺い、それを解決しながら患者様と一緒に治療の計画を立てていきます。
歯医者で緊張する様な、歯医者選びで迷う方は、ぜひいらしてください!
きっと当院の良さが感じていただけると思います。

800万人以上の治療実績

AIを用いた最適な治療計画
3Dシミュレーション装置で
歯並びのイメージがその場で見れる!


マウスピース矯正は
私が責任を持って治療いたします。

院長 大木 理史
矯正で失敗しないために
歯列矯正をしなきゃよかったや歯列矯正をやって後悔という投稿をみかけることがあります。
その多くは後戻りしてしまったという内容です。
後戻りとは、矯正治療によって整えた歯は元の位置に戻ろうとする力が働き、何も対策をしなければ元に戻ってしまいます。この元に戻ることを後戻りと言います。通常は保定装置(リテイナー)を装着することで後戻りを防ぐことができます。
矯正は歯並びを整える期間と、整った歯並びが元に戻らないように保定(位置を保つ)する期間があります。
歯並びを整える期間は歯医者で進捗を管理していきます。一般に歯医者で行う矯正治療とは歯並びを整えるところまでとすることが多く、保定期間に関しては矯正治療の終了後に行うものとなり、歯医者が関与することなく患者様にゆだねられる部分となります。
そのため、稀に保定装置(リテイナー)を装着せずに後戻りが進行される方がいらっしゃいます。
当院では一般診療も行っており、半年ごとにクリーニング等で定期的に患者様のお口をチェックし、衛生状態を保っています。矯正治療を行われた患者様にも行っており、後戻り対策に関しても相談等受けております。
そのため、患者様が矯正治療を終了しても関係性を持続することができるため、後戻りの後悔を防ぐことができます。
マウスピース矯正治療の流れ
1時間の無料カウンセリング
(ご希望のある方)
当院では1時間の無料カウンセリングを行っております。
患者様の疑問や質問等を伺いお答えします。
お気軽にご相談ください。
矯正治療の準備
歯の状況を確認し、3Dシミュレーション等を用いて、治療終了後の状態をご説明します。
☆ポイント
抜歯が必要な場合や虫歯がある場合でも当院で全て治療ができます。
矯正治療開始
定期的にお口の管理を行い、適切に治療を進めます。
☆ポイント
歯の動きをお伝えし、進行状況を確認します。
矯正治療後
矯正治療終了後は後戻り防止のため、保定装置を装着いただきます。
☆ポイント
矯正治療が終了して放置をすると、歯が元に戻ろうとするので矯正治療終了後もケアが必要になります。
大人のマウスピース矯正
よくあるご質問
- Q
矯正期間はどのくらいでしょうか?
- A
矯正治療の期間は短い方で1年程度となり、多くの方は1~2年程度で終了します。 抜歯を伴う場合は2~3年程度かかることが多いです。 マウスピース矯正には加速装置というものがあり、加速装置を使うことで3~6ヶ月程度治療を早めることができます(個人差はあります)。 ご興味がございましたらお気軽にご相談ください。
- Q
矯正中に虫歯になった場合は
どのように治療しますか? - A
当院では矯正治療の前に必ず口腔内をチェックします。その際に虫歯が発見された場合は虫歯を完治してから矯正治療を行うため、虫歯はなりにくいです。 万一、矯正中に虫歯になった場合は、矯正治療と虫歯治療を並行して行うことがほとんどとなります。矯正治療中も口腔内を必ずチェックできるのは当院の特徴の一つです。
- Q
マウスピースの洗浄方法は?
- A
マウスピースを外した後、ぬるま湯かお水で洗って汚れを落としてください。
お湯は変形する恐れがありますので避けてください。また、歯磨き粉の使用も避けてください。








